Казалось бы, кандидоз ротовой полости в основном встречается у грудных детей ввиду незрелости их иммунной системы, но при совокупности некоторых патологических факторов может возникать и у людей более старшего возраста. Так давайте же подробно разберем, как и чем лечить молочницу во рту у взрослых.
Однако для начала небольшое вступление. Молочница в полости рта – инфекционное заболевание, вызываемое дрожжеподобными грибами из рода Кандида, которые в норме обитают в здоровом организме и не вызывают никаких жалоб. Среди взрослого населения кандидоз рта чаще всего поражает женский пол, курящих мужчин и пожилых людей, которые пользуются зубными протезами или имеют ослабленный иммунитет.
Способы лечения молочницы во рту у взрослого человека
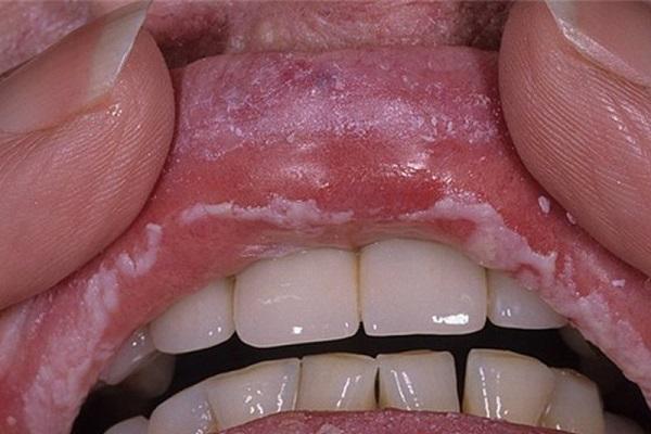
Как правило, диагноз уже можно выставить по наличию характерных клинических проявлений, как на приведенных ниже фото: беловатые густые творожистые налеты на коже губ, эпителии языка, внутренней поверхности щек; чувство жжения и мучительный зуд; при снятии налетов на слизистых оболочках образуются слегка кровоточащие эрозии.
Молочница на губах у взрослых может быть спровоцирована рядом причин. Для выяснения конкретной потребуются: проведение ряда дополнительных анализов, консультации смежных специалистов (инфекционист, стоматолог, иммунолог).
Базисные способы и методы лечения заключаются в следующем:
- Целенаправленное лечение патологии, которая спровоцировала развитие кандидоза. К примеру, при сахарном диабете должна быть достигнута компенсация углеводного обмена, при воспалительных и дистрофических поражениях зубов и десен – соблюдение личной гигиены, отказ от курения и сладостей, своевременное лечение болезни.
- В основе лечения лежит прием системных препаратов, обладающих противогрибковым действием. Чаще всего используют антибиотики имидазолового и полиенового ряда.
- Для уменьшения выраженности местных симптомов назначаются топические лекарственные средства в виде мазей, аэрозолей и растворов.
- Оправдано применение в комплексной терапии и народных методов лечения. Многие травяные отвары и настойки обладают противовоспалительным и антимикотическим эффектом. Как правило, эти рецепты доступны каждому человеку.
- Наряду с лечением главного заболевания следует придерживаться особой диеты (исключить алкоголь, мучное и кондитерские изделия), тщательно соблюдать правила личной гигиены, принимать препараты с иммуномодулирующим действием.
Терапия кандидоза на языке

В первую очередь, пациент на время лечения должен отказаться от продуктов, которые провоцируют и усугубляют течение молочницы. Дрожжи, сахаросодержащие продукты, алкоголь, соусы и кофе исключаются полностью из пищевого рациона.
Кроме регулярной чистки зубов при кандидозе показано полоскание либо самостоятельная обработка пораженных участков содовым раствором. Благодаря его использованию удаляются грибковые налеты, и осуществляется санация ротовой полости.
Так как кандидоз во взрослом возрасте протекает на фоне ослабленного иммунитета, островки налетов могут образовываться и в пищеварительной трубке, и в органах половой системы.
Поэтому терапия должна начинаться с системно действующих средств:
Для местной обработки полости рта используют антисептические и противогрибковые растворы, мазевые аппликации:
- Полоскание с 2% раствором борной кислоты необходимо повторять каждые три часа на протяжении 10 дней.
- Комбинированные растворы в виде Гевалекса, Тантум-Верде также помогут избавиться от местных симптомов такого заболевания, как молочница на языке у взрослых.
- Хорошим эффектом обладают аппликации с 1% Клотримазолом, 0,5% Декаминовой мазью. Процедуру выполняют дважды в день, как минимум, в течение одной недели.
В качестве полосканий используют такие варианты народных средств:
- Соки из моркови и калины. В их составе находится значительное количество витаминов из разных групп, фитонцидов и эфирных масел. Курс терапии не меньше месяца.
- Отвары из ромашки, чистотела и березовых почек.
- Настойка из календулы (перед полосканием чайную ложечку настойки необходимо развести в одном стакане воды).
- Мед также удаляет кандидозные налеты. Для этого 4 раза за день необходимо рассасывать во рту по одной чайной ложке меда. Курс может длиться 20-25 дней.
Лечение молочницы на губах

Подход к системным препаратам аналогичный таковому при лечении кандидоза на языке.
А вот среди местно действующих средств есть некоторые различия:
- Для устранения ангулярного хейлита и дрожжевых заед используют Нистатиновую или 5% Левориновую мази. Наносить их следует ватными палочками на пораженную зону 3-4 раза в день, курсом не менее 7 дней.
- Красную кайму губ можно обрабатывать анилиновыми растворами: бриллиантовым зеленым или фукорцином, к примеру. Процедуры выполняются дважды (вечером и утром) в день на протяжении 10 дней.
Лечение молочницы на губах возможно и с помощью народных рецептов:
- Аппликации с маслом алоэ, облепихи или шиповника. Сложенную в шесть слоев марлю пропитывают выбранным маслом и прикладывают к пораженной зоне на 15 минут. Повторять процедуру надобно ежедневно на протяжении двух недель. В структуру этих масел входят вещества с выраженным заживляющим, обезболивающим и иммуностимулирующим действиями.
- Эрозивные поверхности и участки налетов можно смазывать соком из лука, полыни или чеснока. Улучшение наступает уже спустя неделю, но лечение следует продолжить, как минимум, до 14-21 дня.
- Масло душицы содержит в себе железо, кальций, органические кислоты, витамины C и A, которые способствуют скорейшему уничтожению грибков. Наносить масло следует на пораженную кожу трижды в день.
Чем еще можно побороть грибок во рту?
Существует еще несколько эффективных и недорогих методов избавления от кандидоза, о которых мало кто знает.
Кроме приведенных антисептических растворов, травяных отваров, полость рта можно полоскать обычным раствором Метрогила, который используют для внутривенных инфузий. Приобрести данное средство можно в любой аптеке за небольшие деньги. Полощут рот им 5-6 раз в день на протяжении 7 или 10 дней.
Мощным противомикотическим действием обладает смесь Нистатина и витамина цианокобаламина. Для ее приготовления необходимо растолочь одну таблетку Нистатина, после чего добавить ее в одну ампулу витамина B12. Полученной смесью обрабатывают ротовую полость от 2-х до 5 раз в сутки.
Кандидоз – это заболевание, возбудителем которого являются грибы рода Candida. В норме они обитают на коже и слизистых оболочках человека, не доставляя ему никаких неудобств. Но в случае, если иммунная система дает сбой, грибок начинает размножаться, вызывая неприятные симптомы.
Причины заболевания
Существуют наружные и внутренние причины, по которым может возникнуть кандидоз полости рта.
К внутренним причинам молочницы во рту относят:
- Болезни иммунной системы (ВИЧ);
- Эндокринные заболевания (сахарный диабет, гипотериоз, дисфункция надпочечников);
- Туберкулез;
- Болезни желудочно-кишечного тракта (гастрит с пониженной кислотностью, язвенная болезнь);
- Недостаток витаминов в организме;
- Кариес;
- Злокачественные новообразования;
- Дисбактериоз;
Наружные причины кандидоза полости рта:
- Лучевое воздействие;
- Прием лекарственных препаратов (антибиотиков, противомикробных средств, кортикостероидов);
- Контакт с носителем грибковых заболеваний;
- Употребление алкоголя и наркотиков;
- Ношение зубных протезов;
- Мелкие травмы слизистой оболочки полости рта.
Виды и симптомы молочницы во рту
Острый псевдомембранозный кандидоз (молочница) относится к наиболее распространенным видам заболевания. В детском возрасте она возникает часто и протекает в легкой форме.
У взрослых молочница сопутствует эндокринным нарушениям, злокачественным заболеваниям или болезням крови.
Симптомами кандидоза ротовой полости являются:
- Боль и жжение во рту, особенно при приеме острой и соленой пищи;
- Заболевание поражает слизистую оболочку языка, щек, неба и губ, слизистая становится сухой и отечной;
- Слизистая полости рта покрывается белым творожистым налетом, который при тяжелой форме заболевания снять достаточно трудно;
- Под налетом слизистая гладкая, сухая и слегка отечная.
Острый псевдомембранозный глоссит сопровождается следующими симптомами:
- На слизистой оболочке появляется множество мелких эрозий и ссадин;
- Возникают болевые ощущения и жжение;
- Цвет слизистой в области поражения белый с серым оттенком.
Острый атрофический кандидоз во рту проявляется в виде симптомов:
- Слизистая оболочка становится ярко-красного цвета;
- Поверхность становится сухой и очень болезненной;
- Нитевидные сосочки языка атрофируются;
- Налет накапливается в складках и снимается с трудом.
Хронический гиперпластический кандидоз. На грибок во рту указывают:
- Плотный налет в виде бляшек и узелков на небе и спинке языка, который трудно снять;
- Если болезнь длится долго, на слизистой появляются пленки желто-серого цвета, плотно спаянные с поверхностью;
- Ткани слизистой оболочки под налетом становятся отечными и кровоточащими;
- Во рту возникает сухость и жжение.
Лечение кандидоза полости рта
Флуконазол (Дифлюкан, Дифлюзол, Фуцис, Микосист). Действующим веществом этих препаратов является флуконазол.
Это представитель класса триазольных противогрибковых средств. Он эффективен при микозах вызванных грибами рода кандида, трихофитон и микроспорум. Назначают по 50 – 150 мг в сутки, до полного исчезновения симптомов
Кетоконазол (Низорал, Дермазол). Действующим веществом препаратов является кетоконазол, синтетическое производное имидазол диоксолана. Он обладает фунгистатическим и фунгицидным действием по отношению к дрожжевым грибам, дерматофитам и диморфным грибам.
Средство применяют при кандидозе кожи, слизистых оболочек и ногтей. Принимают по 200 мг в сутки в течение недели. Если симптомы заболевания не исчезли, лечение продолжают
Нистатин. Средство относят к антибиотикам полиеновой группы. Препарат избирательно действует на патогенные грибы в особенности из рода кандида. Применяется для лечения кандидомикоза слизистых оболочек. Применяют по 250000 – 500000 ЕД, до 4-х раз в сутки. Чтобы ускорить эффект, таблетки рассасывают в полости рта.
Спорагал (Итраконазол). Действующим веществом этих препаратов является итраконазол, противогрибковое средство широкого спектра действия. Он угнетает рост большинства патогенных грибов, в том числе и дрожжевых, нарушая синтез эргостерола в стенках клеток. Для лечения кандидоза назначают 200 мг препарата 2 раза в сутки в течение одного дня или по 200 мг 1 раз в сутки на протяжении 3 дней.
Для того чтобы восстановить иммунитет назначают витаминные комплексы, в составе которых витамины группы В, аскорбиновая кислота, кальция глюконат. Чтобы устранить зуд и отек используют антигистаминные препараты: Супрастин, Лоратадин, Цетиризин.
Лечение молочницы во рту у взрослых и детей отличается дозировкой препаратов, для правильного лечения — обратитесь к врачу!
Большое значение имеет обработка полости рта, особенно у пациентов с зубными протезами. Их, как и полость рта, в обязательном порядке необходимо промыть противогрибковыми растворами:
- Раствор перманганата калия бледно-розового цвета. Для его приготовления небольшое количество марганца необходимо развести в 20 мл кипяченой охлажденной воды. Затем полученный раствор понемногу добавлять в воду, до тех пор, пока она не приобретет нужный оттенок. Нерастворенные кристаллы перманганата калия, попадая на слизистую оболочку, могут вызвать ожог. С помощью ватного шарика пропитанного раствором устраняют налет во рту, после чего нанести раствор люголя;
- Для приготовления раствора люголя его разводят кипяченной охлажденной до комнатной температуры водой в пропорции 1 к 3. Средство наносят на слизистые оболочки каждые 3 часа;
- Для обработки полости рта можно использовать 0,25% раствор буры, для приготовления которого 5 г этого вещества растворяют в 250 мл горячей воды. После того как средство остынет до комнатной температуры, его закрывают крышкой и тщательно взбалтывают;
- Для обработки рта можно использовать раствор перекиси водорода 0,25% для его приготовления таблетку Гидроперита измельчают и заливают стаканом кипяченой воды. Вместо таблетки можно добавлять столовую ложку готовой 3%-й Перекиси водорода.
- Метиленовый синий. С помощью ватной палочки обрабатывают полость рта;
- Для полоскания используют 2% раствор борной кислоты. Для его приготовления на 100 мл кипяченой воды комнатной температуры нужно добавить 2 г сухого порошка и тщательно размешать. Использовать дважды в сутки.
Для лечения грибковых заболеваний полости рта можно использовать народные средства:
- Раствор пищевой соды – эффективно борется с грибком. В 500 мл кипяченой воды нужно добавить 5 г соды, полоскать рот этим раствором после каждого приема пищи. Для заживления ранок и ссадин в содовый раствор можно добавить 2 капли йода.
- Ромашка – оказывает противовоспалительное действие. 5 г сухих цветков залить 300 мл воды и кипятить 2 минуты на небольшом огне. Отвар процедить и использовать для полоскания рта несколько раз в день.
- Мед. Перед применением средства необходимо очистить налет с помощью содового раствора, затем взять в рот столовую ложку загустевшего меда и медленно рассасывать до полного растворения. Применять до 4 раз в сутки. Лечение длится до 21 дня;
- Петрушка. Столовую ложку измельченных корней этого растения заливают стаканом холодной воды и доводят до кипения. После того, как средство остынет, его процеживают и применяют для обработки полости рта, до 3 раз в сутки. Лечение продолжают 2 недели;
- Календула. Столовую ложку цветов заливают 500 мл воды и кипятят на небольшом огне в течение 3 минут. После остывания процеживают и используют для полоскания рта. Средство помогает бороться с грибком, а также заживляет мелкие повреждения и оказывает обезболивающее действие. Полоскать отваром нужно как можно чаще;
- Дубовая кора. Оказывает вяжущее и противогрибковое действие, препятствует распространению дрожжевых грибов по слизистым оболочкам других органов. Для приготовления средства 20 г сухой коры, заливают 300 мл воды и ставят на водяную баню. Кипятят на протяжении четверти часа, затем дают остыть под крышкой. Готовый отвар процеживают, пропитывают им ватный тампон и снимают налет. Также его используют для полоскания рта. Лечение длиться от 7 до 14 дней;
- Облепиховое масло. Оказывает заживляющее действие, укрепляет иммунную систему и позволяет ускорить регенерацию слизистой оболочки. Для приготовления 50 г спелой облепихи измельчают в кашицу, заливают таким же количеством рафинированного подсолнечного масла и дают настояться в темном месте 3 дня. Процеживают, и смазываю им во рту. Предварительно нужно снять налет с помощью содового раствора;
- Лук. Фитонциды этого растения позволяют справиться с заболеванием за неделю. Предварительно нужно снять налет, затем пораженные участки смазать луковым соком, который готовят непосредственно перед применением.
Осложнения
Если не лечить грибок полости рта, то, начавшись на слизистой оболочке, оно может распространиться на внутренние органы, вызывая кандидоз желудочно-кишечного тракта. Также он может поражать легкие и бронхи.
Диета при кандидозе полости рта
При лечении кандидоза ротовой полости особую роль играет диета. Пораженная кандидозом слизистая оболочка рта затрудняет прием пищи, поэтому еда должна быть комфортной температуры и консистенции. Предварительно блюда нужно измельчать до состояния жидкого пюре.
При приготовлении пищи не стоит использовать специи, большое количество соли или кислоты, которые могут вызвать раздражение пораженной слизистой оболочки. Необходимо отказаться от употребления жаренных или жирных блюд, а также исключить из меню копчености и соленья. Правильное питание позволит восстановить работу иммунной системы и позволит организму быстрее справиться с заболеванием.
Из рациона исключают:
- Продукты, содержащие дрожжи;
- Кондитерские изделия;
- Грибы;
- Соусы;
- Газированные напитки и алкоголь.
Меню должно состоять из легко усваиваемой пищи:
- Крупяные блюда;
- Супы;
- Овощи и фрукты;
- Натуральные соки.
Кандидоз полости рта у детей
Часто молочница у малыша во рту бывает в первый год жизни. Они могут заразиться, проходя через родовые пути или при контакте с взрослыми. Причиной молочницы становится незрелый иммунитет.
Чаще всего молочница в ротовой полости поражает внутреннюю сторону щек, но может также затрагивать язык, миндалины или небо.
Слизистая оболочка краснеет, а затем покрывается крупинками, похожими на творог. Такой налет можно легко снять. Под ним наблюдаются участки ярко-красного цвета, а в некоторых случаях даже выступает кровь.
Кандидоз рта сопровождается жжением, поэтому ребенок отказывается от пищи, капризничает и плохо спит. В тяжелых случаях у него может подниматься температура.
Иногда у детей могут появляться кандидозные заеды, при которых в уголках рта возникают трещины, покрытые белым налетом.
Гигиена при кандидозе полости рта
Особую роль в лечении заболевания играет гигиена полости рта. Для того, чтобы болезнь отступила как можно быстрее необходимо:
- Чистить зубы дважды в день, утром и вечером. Делать это нужно мягкой щеткой, чтобы не повредить и без того воспаленную слизистую оболочку. При этом вода для чистки зубов должна быть теплой;
- После каждого приема пищи использовать специальные дезинфицирующие растворы, с помощью которых устраняются остатки пищи;
- Особое внимание нужно уделить протезам. Их ежедневно стоит обрабатывать специальными дезинфицирующими растворами;
- Для того чтобы лекарства активно всасывались в слизистую оболочку, необходимо устранять налет. Для этого используют небольшой кусок бинта, ваты или ватный диск пропитанные специальными растворами, которые позволяют бороться с грибком. Это нужно делать не менее 3 раз в сутки;
- После того, как налет снят слизистую оболочку обрабатывают специальными растворами, которые кроме борьбы с грибком позволяют устранить воспалительный процесс и образовавшиеся микротрещины;
- Для того чтобы предупредить распространение болезни, во время заболевания необходимо пользоваться отдельной посудой и полотенцами;
- Стоит избегать поцелуев и орального контакта с партнером;
- После того, как болезнь отступит необходимо сменить зубную щетку, а посуду обработать специальными дезинфицирующими средствами.
Теперь вы знаете, как вылечить молочницу во рту.
Профилактика кандидоза полости рта
Для того чтобы избежать молочницы в ротовой полости необходимо:
- Следить за гигиеной полости рта, регулярно чистить зубы и после еды полоскать рот специальными средствами;
- Зубная щетка должна быть индивидуальной, ее стоит менять каждые 2 – 3 месяца и тщательно мыть после использования;
- Избегать прямого контакта с людьми, у которых есть признаки заболевания;
- Людям, которые носят зубные протезы необходимо следить за их состоянием, обязательно очищать с помощью специальных средств и правильно хранить;
- Отказаться от вредных привычек оказывающих негативное влияние на иммунную систему, таких как курение или употребление алкоголя;
- При лечении антибиотиками необходимо параллельно принимать противогрибковые препараты;
- Вовремя обращаться к стоматологу, для лечения болезней зубов и десен;
- Для того чтобы предотвратить заболевание у маленького ребенка, необходимо регулярно мыть и обдавать кипятком игрушки с которыми он контактирует;
- Кормящей маме нужно тщательно следить за состоянием груди и вовремя лечить трещины и повреждения соска;
- Бутылочки и соски для детей нужно регулярно мыть с содой и обдавать кипятком.
Кандидоз полости рта, или как в народе принято говорить, молочница — заболевание, вызванное бурным размножением грибов рода Кандида Candida. Это дрожжевые грибы, которые являются условно-патогенными — у здорового человека могут присутствовать на слизистых оболочках: в ротовой полости, кишечнике, и не вызывать дискомфорта или болезненных ощущений. Здоровая микрофлора, хорошие бактерии, постоянно живущие в нашем организме, подавляют и сдерживают развитие грибов.
Но определённые заболевания или нарушения в образе жизни, способствуют их бесконтрольному росту. Как правило, речь идёт о дисбактериозе и ослаблении иммунитета, авитаминозе (дефиците группы В и витамина А), нарушении углеводного обмена (в том числе сахарный диабет), воспалительные процессы полости рта, приём антибиотиков.
Кандидоз может развиваться на любых слизистых оболочках, т.е. иметь генитальную, урогенитальную форму, развиваться на стенках кишечника, но наиболее часто встречается кандидоз во рту.
В свою очередь, кандидоз полости рта классифицируется на три группы:
- кандидозный хейлит,
- кандидозный глоссит,
- кандидозный стоматит.
Диагностика этих видов кандидоза обычно не представляет сложности. Кандидозный хейлит — это воспаление красной каймы губ, губы выглядят как будто обкусанными, воспалённо-красными, нижняя губа страдает сильнее.
При кандидозном глоссите поражается в основном язык. Ощущения и внешний вид при этом, такие, будто вы на морозе приложились языком к металлической поверхности – намертво прилипло, отдирали с мясом. Эта острая форма, иногда в хронической форме протекает почти бессимптомно: слегка покрасневший язык.
Кандидозный стоматит
Наиболее распространённая форма кандидоза. В лёгкой форме выглядит как молочный, или творожистый налёт на поверхности щёк, нёба, дёсен, боковой поверхности языка, в уголках губ. Пятна от 3 до 10 мм.
Кандидозный стоматит может протекать в острой форме, обычно у детей, во время или после простудных заболеваний, а также лечения антибиотиками. Если снять белый налёт ватной палочкой, под ним остаётся покрасневшая поверхность слизистой оболочки. Если причины, вызвавшие размножение дрожжевых грибов не ослабевают, он может перейти в более тяжёлую форму, поражая расположенные рядом органы, например, переходить на горло. При этом сам налёт покрывается желтоватой плёнкой, практически не снимается, он прирастает к поверхности рта. В некоторых случаях образуются эрозивные, кровоточащие поверхности. Надо ли упоминать, что это очень болезненно!
Хроническая форма кандидозного стоматита обычно возникает на фоне вялотекущих длительных заболеваний – иммунных, вирусных, например, цитомегаловируса, вируса Эпштейна — Барр, серьёзных нарушениях обмена веществ, болезней крови, сахарного диабета или других инфекций, например, туберкулёза.
При хронической форме во рту постоянно присутствуют язвочки, белые бляшки. Они приподнятой или наоборот вдавленной формы, с покраснением по периферии. По ходу течения основного заболевания, бляшки могут, увеличиваться в размере, припухать, приобретать желтоватый оттенок, становится очень болезненными.
Лечение молочницы во рту
Обычно при возникновении сопутствующего заболевания, каким является кандидоз, мы слышим рекомендацию – лечить основное заболевание. Но кроме этого, причиной развития молочницы, так или иначе, является ослабление иммунитета, и необходимо повышать иммунный статус, чтобы не возникало рецидива молочницы.
Надо понимать, что полностью искоренить дрожжевые бактерии на слизистых не получится – они часть естественной флоры. Но необходимо поддерживать развитие полезной микрофлоры ротовой полости и кишечника. Это значит употреблять в пищу больше продуктов, содержащих живые ацидофильные культуры и лактобактерии — йогурты, кефир, ряженку.
- Все продукты и блюда, содержащие простые углеводы: сахар, печенье, пряники, леденцы и мармелад, а также фрукты и даже мёд.
- Продукты, содержащие крахмал: сдоба, белый хлеб, макароны из мягких сортов пшеницы, манную кашу, белый рис.
- Все ферментированные и острые продукты, соусы: хрен, кетчуп, майонез, маринованные овощи и маринады, квашеную капусту, корейскую морковь и спаржу.
- Все продукты, содержащие дрожжи: дрожжевой хлеб и выпечку, пиво.
- Не употребляйте алкоголь и кофе.
- Не употребляйте продукты, содержащие консерванты, например, сорбат калия, а также фосфаты и нитраты (в колбасах).
Эти продукты создают кислотную среду, благоприятную для развития дрожжевых грибков или вызывают реакции, раздражающие слизистые.
Старайтесь увеличить в своём рационе долю овощей в любом виде и самых разнообразных, кроме картофеля: все виды капусты, лук репчатый и порей, свёклу, тыкву, кабачки, томаты, чеснок, больше зелени. Лук и чеснок нужно употреблять в пассированном или печёном виде — запекайте их в духовке с капелькой оливкового масла. Головку чеснока можно запечь и в микроволновке в течение 3-х минут, он станет мягким и не щипучим.
Крупы и макароны, конечно же, можно, но старайтесь их слегка недоваривать, чтобы не получился кисель, не заправляйте магазинными соусами, только соусами собственного приготовления.
Употребляйте нежирные сорта мяса и рыбы, яйца, сыры и вышеупомянутые несладкие кисло-молочные продукты.
Не помешает комплекс витаминных препаратов, особенно витамин С, группы В и Р.
Если молочница повторяется постоянно, возможно, стоит проверить кислотность крови. У здорового человека показатель кислотности pH крови должен быть в пределах 7,35-7,47. Но от неправильного питания, стрессов, гормональных нарушений, кислотность может повышаться, pH опускается ниже 7,35. Это так называемый ацидоз, или по-простому закисление организма. В подобных случаях необходимо провести анализ крови и при необходимости назначается ощелачивающая терапия, например, приём раствора соды (в среднем 5-20 г в сутки).
Не хотите сдавать анализы, приобретите в аптеке диагностические тест полоски на ацидоз или «pH-тест». Проверяют кислотность по моче, буквально за секунды.
Обработка полости рта при кандидозе
Что касается лечения самого кандидоза, то это в первую очередь гигиена. Как бы не было больно, нельзя отказываться чистить зубы дважды в день, полоскать рот после каждого приёма пищи. Для полоскания рта используйте щелочные растворы (1 ч. ложка соды на 1 стакан воды), отвары и настои трав и прополиса.
Лекарственные травы, способные подавить рост кандиды: календула, кора белой ивы, ромашка аптечная, алтей лекарственный, кора дуба. Можно смешивать в различных пропорциях, например, по 1 части каждого лекарственного растения. Взять 1 ст. ложку смеси на 200 мл воды. Залить кипятком и оставить настояться на 2 часа. За это время раствор остынет и можно полоскать в течение дня. Каждый день готовьте свежий раствор для полоскания.
Из аптечных средств помогают такие полоскания:
- раствор борной кислоты — 1 чайная ложка на стакан воды,
- раствор поваренной соли – 1/4 чайной ложки на стакан воды и 5 капель йода,
- раствор перманганата калия бледно-розового цвета (из соотношения 1 : 5000),
- раствор 2% перекиси водорода (разбавить обычную 3% перекись водой из соотношения 2:1 или 1:1),
- раствор мирамистина,
- раствор соды – 1/2 ч. ложки соды на стакан кипятка, остудить и полоскать рот.
Чтобы язвочки, порождённые кандидой, быстрее заживали, нужно снимать творожистый налёт, ватной палочкой, смоченной 1% раствором цитраля, раствором буры в глицерине или раствором пенициллина. Затем прополоскать рот настоем лекарственных трав.
Перед едой, чтобы смягчить боль можно смазывать язвочки облепиховым маслом.
Иногда встречаются рекомендации смазывать молочницу мёдом, особенно если это касается детей. На самом деле, если мёд фальсифицированный, разбавленный сахарным сиропом, вы только ухудшите состояние, создав во рту среду, благоприятную для грибков.
Настоящий мёд из проверенных источников применять можно, но он обязательно будет щипать воспалённые участки.
Питание при кандидозе
Некоторые мамы сталкиваются с проблемой молочницы у грудных детей. Кандидоз действительно может доставить массу хлопот – ребёнок капризничает, не берет грудь или выплёвывает бутылочку, часто плачет.
В таких случаях необходимо пересмотреть рацион питания мамы, если она кормит грудью и малыша, если он уже ест самостоятельно. Возможно, вы забыли исключить запрещённые продукты? Например, консерванты содержаться в фабричных соках, практически во всех готовых продуктах – от салатов до кондитерских изделий.
Внимательно читайте этикетки при выборе колбас и сосисок, а лучше откажитесь и перейдите на натуральное мясо. Не забывайте сливать первый бульон после закипания.
Попробуйте исключить субпродукты. Особенносильную реакцию раздражения слизистых вызывает говяжья или свиная селезёнка. Обычно её редко используют в питании, но иногда добавляют в мясные полуфабрикаты из субпродуктов (ливерную колбасу и другие виды колбас, котлеты из печени и т.д.) ради удешевления себестоимости.
Запретите детям конфеты и шоколад, а также все остальные сладости – мармелад, пастилу, зефир. Это очень сложно, но возможно заменить их сухофруктами, попробуйте что-то новенькое, например, ягоды кизила.
Йогурт, кефир и творог незаменимы в рационе ребёнка, особенно, ослабленного заболеваниями, с угнетением иммунитета и кандидозом во рту. Но помните, что вы должны покупать такие продукты особенно тщательно, только свежие, без химических добавок.
Старайтесь покупать кисломолочку в день выпуска. Срок годности на натуральные кисло-молочные продукты 72 часа – это три дня. За это время баночка творожка может стоять в совсем не подходящих условиях – в гипермаркетах, их даже не ставят в холодильник. Узнайте, по каким дням привоз и разбирайте свежую партию!
Не забывайте про детские мультивитамины с комплексом микроэлементов, особенно с содержанием цинка.
Как облегчить кандидоз малышу
Если ребенок еще не в состоянии полоскать рот самостоятельно, мама должна протирать язвочки с помощью все тех же лекарственных трав ивсем известного тетрабората натрия в глицерине.
Из трав предпочтение цветкам календулы, у неё наиболее выражены противовоспалительные и антибактериальные свойства, ромашка и крапива значительно слабее.
Смазывать ранки лучше не ватной палочкой, а намотав кусочек стерильного бинтика на палец.
Не забывайте тщательно мыть или кипятить всю детскую посуду и соски. Если вы кормящая мать, содержите грудь в чистоте.
Очень часто при молочнице прописывают 1% кандид-раствор для полости рта. Он выпускается во флаконе из тёмного стекла на 15 мл. Средство эффективно, если обрабатывать полость рта 4 раза в сутки, в течение 3 дней, примерно по три капли.Но помогает Кандид-раствор не всем малышам, иногда вызывает жжение и ребёнок капризничает еще больше.
В таком случае прекратите использовать это средство, попробуйте что-то другое. Например, помогает при молочнице смазывание язвочек соком алоэ. Для ребёнка сок горьковат, но перетерпеть можно и он практически не щиплет.
Если есть сильная болезненность, можно приготовить смесь из 10 капель 0,5% новокаина на половину чайной ложки облепихового масла. Можно смазывать язвочки раствором Аекола (витамин А и Е).
Часто можно услышать жалобы от мам, особенно у грудных детей, что молочница опять возвращается.
Не паникуйте, помните, что у малыша идёт становление иммунитета, он, кстати, может быть ослаблен прививками. Надо понимать, что за день или два молочница во рту не исчезнет. Если малыш выздоровел от простуды или гриппа, а кандидоз не проходит, обязательно обратитесь к врачу. Правда такова, что приходится применять одни и те же средства для протирания – привыкания к календуле, новокаину или соку алоэ не вырабатывается.
Иногда мамы бездумно решают применять на детях противомикробные средства. Например, четвертинку Флуконазола. Никогда не давайте своему ребёнку подобные препараты! Флуконазол запрещён к применению у детей до 16 лет.
Причина тому – не изученность влияния на младенцев, побочные действия на печень, почки и сердечно-сосудистую систему, он может вызывать галлюцинации и диарею. Его прописывают при лечении менингита, а при такой мелочи как молочница риск не оправдан! Противогрибковые препараты для детей может назначать только врач, а не форум мамочек-любительниц. А врач скорее назначит, Нистатин — он допускается к применению у детей до года.

